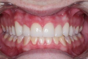
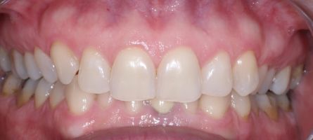
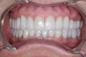
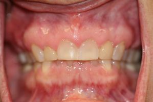
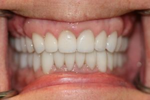
Before and After Photos
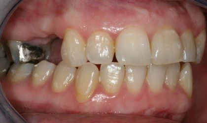
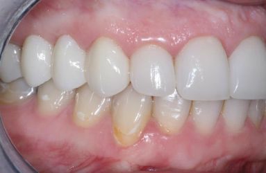
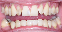
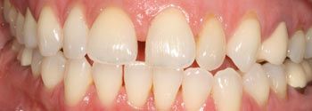
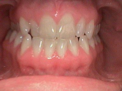
Bridges

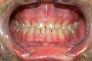
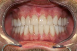
Before

After

Before

After

Before

After
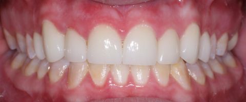
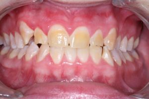
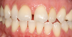
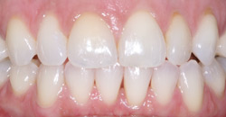
Porcelain Veneers

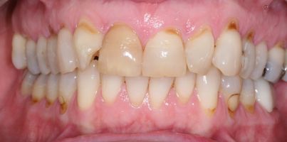
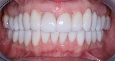
Before

After

Before

After

Before

After

Before

After

Before

After

Before

After

Before

After

Before

After

Before

After
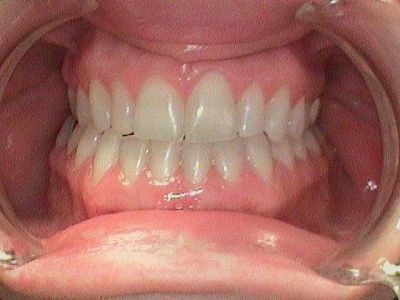
Invisalign

Before

After

Before

After

Before

After

Before

After

Before

After

Before

After
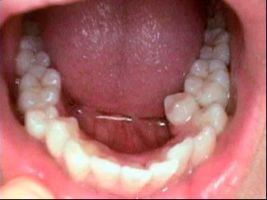
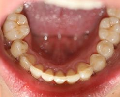
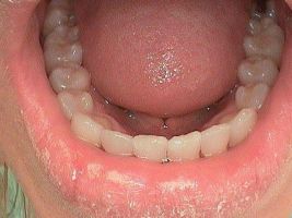
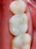
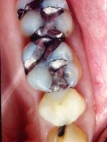
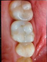
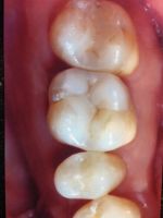
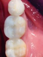
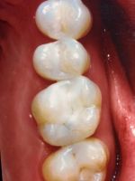
Onlays and Inlays

Before

After

Before

After

Before

After

Before

After

Before

After

Before

After

Before

After
Full Mouth Rehab

Before

After

Before

After

Before

After

Before

After

Before

After
